
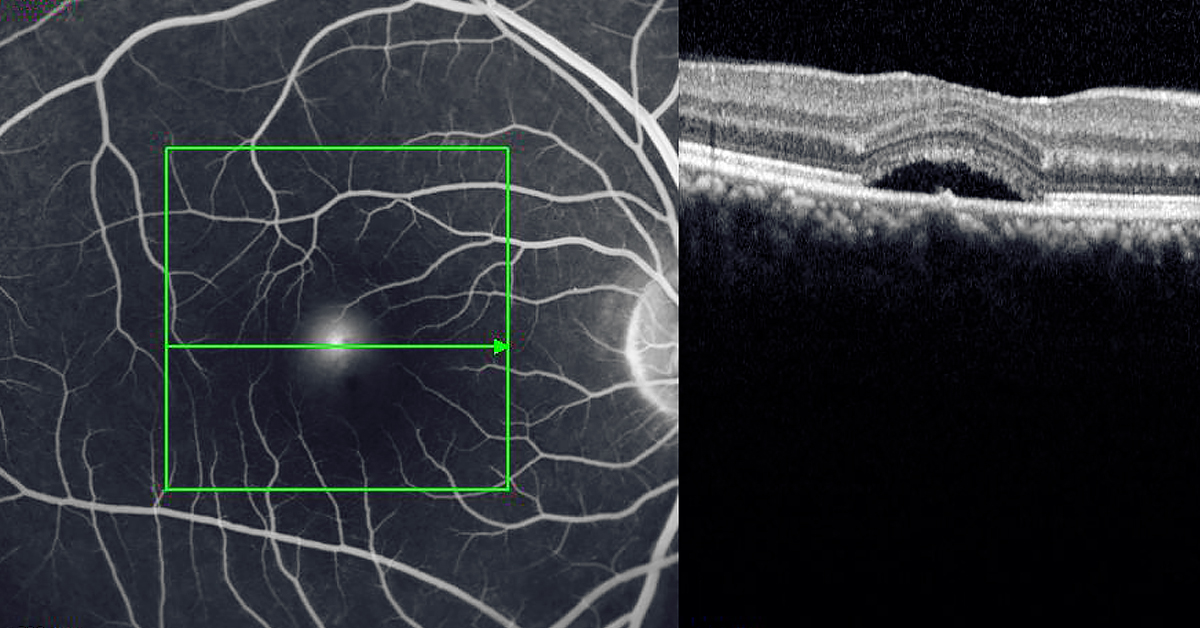
Central Serous Chorioretinopathy (CSCR) is when fluids from the choroid, a layer of tissues under the Retina, swell, creating a blister that can result in a small retinal detachment and visual distortion. Men in their 30s to 50s are more likely to develop CSCR than women, and those under a lot of stress are at particularly higher risk. Although long-term fluid accumulation can lead to permanent vision loss, if detected early, CSCR can be treated so that leaks are sealed and vision is restored. About half of the patients who have suffered from CSCR will have it return, so if you’ve ever experienced CSCR it’s critical to schedule regular follow-up exams with your Retinologist at High Country Macula. Learn more about CSCR at http://bit.ly/2Q5DTbH, and share with others who may be at risk.



